Discover Smile Enhancement Treatments from The Dentists at Old Market

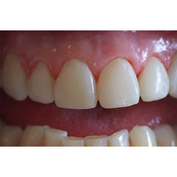
Porcelain Veneers
Veneers are used to make teeth look better by improving their shape, position and colour. They are custom-made by a skilled dental technician, perfectly matched to the colour and translucence of your existing natural teeth, to restore and enhance your appearance.
Crooked/
Crowded Teeth
Crowded Teeth
Orthodontics is traditionally used to help straighten teeth as children are growing, however with new orthodontic systems available, you are never too old to have straighter teeth. At The Dentists Old Market, we use the Six Month Smile system or clear aligners to help you achieve a better smile.
Closing Tooth Spaces
Gaps between teeth can be removed by 6 month smiles or clear aligners, but we can also use tooth coloured composite to close these gaps as demonstrated in the before and after photos below. This is a simple procedure that is done in a single visit.
Icon White Spot Removal
Many people mistake white spots for staining and think that whitening alone can remove them. However, white spots remain lighter in colour than the rest of the tooth, even after Whitening. If you want to remove white spots on your teeth then Whitening, combined with our revolutionary NEW ‘Icon White Spot Removal’ treatment could be the ideal way to achieve a more uniform, whiter, brighter smile!
Composite Bonding
Composite Bonding is a pain-free, injection-free, comfortable and safe way to improve your smile. We use tooth-coloured filling material to shape and enhance the front teeth, tailoring the solution to each patient and their requirements, so they get the result they want. You may just want a small change, like this patient who just wanted to remove the grey look of his front teeth, but even a small change can make a big difference to your confidence and your smile.
General Dentistry with The Dentists Old Market
If you are looking for a trusted dental practice for your General Dentistry, Bristol-based practice The Dentists Old Market provides expert treatment 6 days a week.
Book your consultation today, or check out some FAQs to help inform your decision.






