Porcelain Inlays & Onlays at Old Market Dentists
If you have large metal fillings that you want to have replaced to make them look more natural and function like your natural teeth, a great option would be to consider porcelain inlays/ onlays.
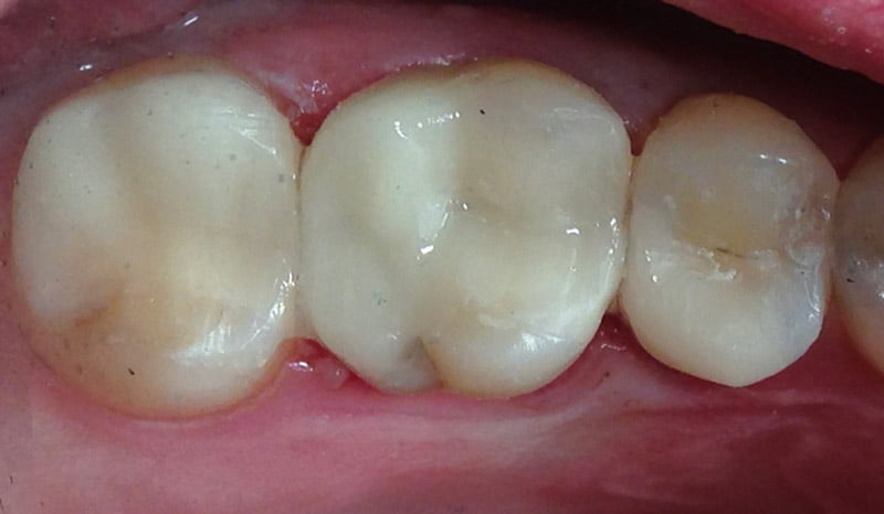
An inlay/ onlay is a custom-made, reinforced porcelain insert thats fits inside the tooth. It is securely bonded within the prepared tooth to prevent further decay and stabilise the surrounding tooth structure and, being perfectly match to your own tooth colour, looks completely natural.

Benefits of Porcelain inlays/ onlays:
- Look completely natural and much more aesthetically pleasing than metal or amalgam.
- The inlay/ only restores function to your tooth and provides protection to the tooth from further breakage/ fracture.
- Stain resistant.
- Very durable and built to last for the long term.
General Dentistry with The Dentists Old Market
If you are looking for a trusted dental practice for your General Dentistry, Bristol-based practice The Dentists Old Market provides expert treatment 6 days a week.
Book your consultation today, or check out some FAQs to help inform your decision.

